사회
FV병원, 다빈치 Xi 도입해 'FV 다빈치 로봇수술센터' 개소
FV병원은 다빈치 Xi 로봇수술 시스템을 도입해 로봇보조 최소침습 수술을 확대하기 위해 'FV 다빈치 로봇수술센터'를 개소했다.
검색
6건의 결과
사회
FV병원은 다빈치 Xi 로봇수술 시스템을 도입해 로봇보조 최소침습 수술을 확대하기 위해 'FV 다빈치 로봇수술센터'를 개소했다.
사회
호치민 빈단 병원은 설립 70주년을 맞아 2등 노동훈장을 받고 신중앙동을 개관하며 로봇수술 등 첨단 외과 허브로서의 위상을 다졌다.
사회
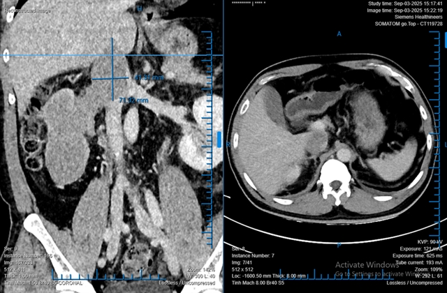
호치민시 빈단(Bình Dân)병원 의료진이 로봇만으로 신장 전체를 차지한 대형 종양과 하대정맥으로 76mm 뻗은 종양혈전을 성공적으로 제거했다.
사회
베트남(베트남(Việt Nam)) 보건부가 로봇, 의료영상, 인공지능, 3D 시뮬레이션과 빠른 회복 기술 등을 활용해 수술 분야의 치료 질 향상과 비용 절감, 지역 간 의료 격차 해소를 추진한다고 밝혔다.
사회
호찌민 빈단병원에서 48세 환자의 대형 신장암과 하대정맥으로 76mm 침범한 혈전을 전신 개복 없이 완전 로봇 수술로 제거해 성공적으로 회복시켰다.
사회
하노이에서 열린 유방암 심포지엄에서 AI 조기진단, 로봇수술, 즉시재건 등 최신 치료·관리 기법과 재활 중요성이 강조됐다.